아무 잡담이나 올려주세요.
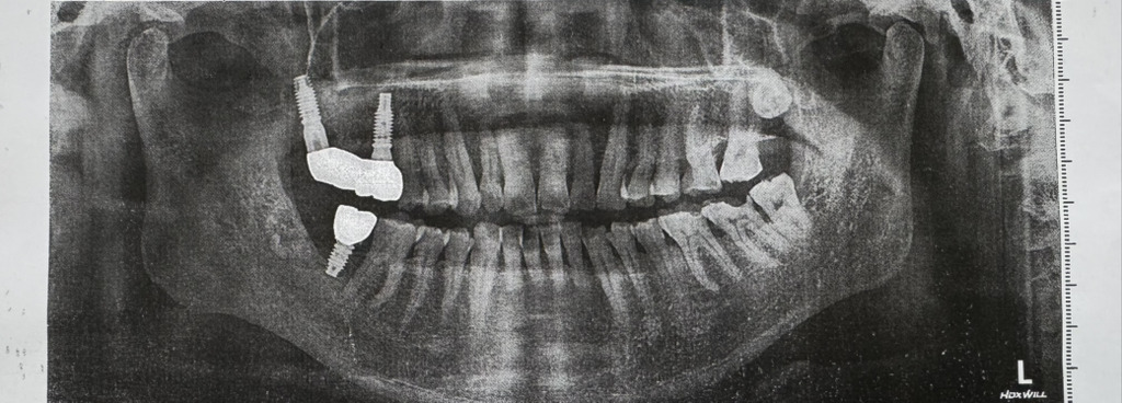
사랑니 포함 발치 5개 했고 임플란트 처음에 3개 심었는데 그중 하나가 뿌리가 제대로 고정안되여서 뽑고 3개월만에 다시 심었어요.근데 기존에 심었던 어금니 자리 아니고 사랑니 자리에 사선으로 심었고 사전에 그 어떤 상담과 상의도 없이 그대로 임플란트 마무리 했줬어요.사진 한번만 바주세요.이렇게 임플란트 하는 경우도 있나요?