동남아 여행 홍역에 대해 이야기해요
[공식]테이블
댓글 3AI 브리핑
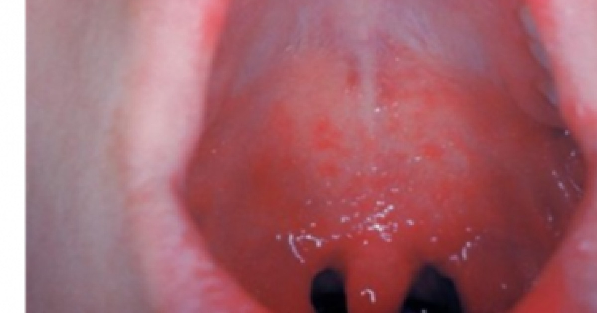
여름 휴가철 해외여행 중 홍역 주의가 요구된다. 국내 환자는 전년 대비 1.4배 증가한 65명이다. 면역 약한 영아는 감염 시 위험이 크다. 여름 휴가 계획 있으신가요?
관련 기사 보기
'키워드를 말하다' 이용안내
이 테이블의 게시글은 언론사가 편집하고 선정한 주요 뉴스를 제공하고, 생성형 AI 기술의 도움을 받아 브리핑을 만듭니다. 생성형 AI 기술은 발전 중이며, 품질이 항상 일정하지 않을 수 있습니다. 자세히보기 >
다양한 의견을 댓글로 남겨주세요. 서로의 의견을 존중하며 건전한 토론 문화가 될 수 있도록 이용 부탁드립니다.
댓글 3
댓글 정렬방식 선택
- 선택됨
페이지 위치정보
- 현재 페이지1
비로그인 상태입니다 테이블에 앉아보세요!
테이블만의 핵심 기능을 확인해 보세요
